นักวิจัยนานาชาติใช้ซินโครตรอนไทยสำรวจความลับที่ซ่อนในขาตั๊กแตน
นักวิจัยนานาชาติใช้แสงซินโครตรอนจากเครื่องกำเนิดแสงสยามในโคราชสำรวจอวัยวะภายในขาตั๊กแตน เพื่อทำความเข้าใจกลไกการรับรู้การเคลื่อนไหวของแมลงผ่านอวัยวะเล็กๆ ที่เกี่ยวข้องกับการได้ยิน การเคลื่อนไหว ไปจนถึงการวางไข่ สะท้อนบทบาทของประเทศไทยในการมีโครงสร้างพื้นฐานด้านวิทยาศาสตร์ขั้นสูงที่พร้อมสนับสนุนการวิจัยระดับนานาชาติ และเปิดโอกาสการค้นพบองค์ความรู้ใหม่ๆ
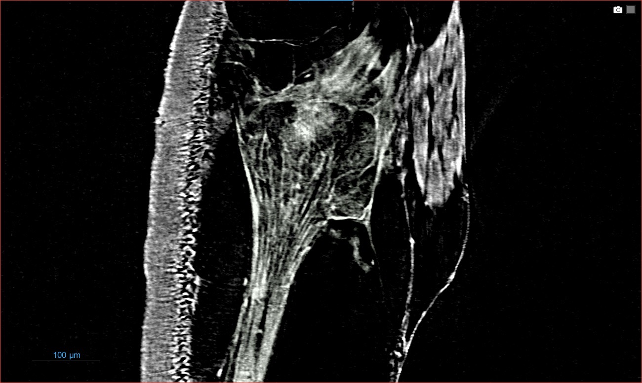
ตัวแทนทีมวิจัยนานาชาติจากไทย อังกฤษ ฝรั่งเศส เยอรมนี และสหรัฐอเมริกา ซึ่งทำวิจัยเกี่ยวกับการรับรู้เชิงกลของแมลง ได้นำตัวอย่างขาตั๊กแตนมาศึกษาด้วยเทคนิคแสงซินโครตรอนที่สถาบันวิจัยแสงซินโครตรอน (องค์การมหาชน) กระทรวงการอุดมศึกษา วิทยาศาสตร์ วิจัย และนวัตกรรม (อว.) จ.นครราชสีมา โดยใช้เทคนิคเอกซเรย์โทโมกราฟี (X-ray Tomography) ซึ่งเป็นเทคนิคในการถ่ายภาพเอกซเรย์สามมิติความละเอียดสูง
ดร.อติเทพ ไชยสิทธิ์ นักวิจัยมหาวิทยาลัยเลสเตอร์ (University of Leicester) สหราชอาณาจักร หัวหน้าโครงการวิจัยซึ่งได้รับทุนจากโครงการ Human Frontier Science Program (HFSP) ซึ่งเป็นโครงการสนับสนุนงานวิจัยพื้นฐานระดับนานาชาติ และเป็นนักวิจัยเยือน (Visiting Research Scholar) ที่ศูนย์วิจัยเพื่อความเป็นเลิศพาหะและโรคที่นำโดยพาหะ (CVVD) และภาควิชาชีววิทยา คณะวิทยาศาสตร์ มหาวิทยาลัยมหิดลกล่าวว่า “ทีมวิจัยได้นำตัวอย่างขาตั๊กแตนมาถ่ายภาพสามมิติด้วยเทคนิคแสงซินโครตรอนเพื่อศึกษาอวัยวะรับรู้การงอพับขาที่เรียกว่า Femoral Chordotonal Organ หรือ FeCO ซึ่งเป็นอวัยวะในกลุ่ม Chordotonal Organ ที่แมลงใช้ในการรับรู้สิ่งเร้าต่างๆ ไม่ว่าจะเป็นการได้ยินและการเคลื่อนไหวหรือการวางไข่”
“ทีมของเรามีความสนใจร่วมกันในเรื่องการรับรู้เชิงกลในแมลง โดยเฉพาะกระบวนการ “เปลี่ยนสิ่งเร้าเชิงกลให้กลายเป็นสัญญาณประสาทไฟฟ้า” ซึ่งแมลงใช้อวัยวะในกลุ่ม Chordotonal Organ รับรู้สิ่งเร้าต่างๆ โดยภายในอวัยวะนี้ประกอบด้วยกลุ่มเซลล์ประสาทที่มีระยางค์นำสัญญาณประสาทเข้าสู่เซลล์ หรือ “เดนไดรท์” (dendrite) ที่เรียงตัวกันจนเหมือนเป็นเส้น และมีสมมติฐานว่าอวัยวะนี้จะถูกกระตุ้นเมื่อระยางค์นำสัญญาณประสาทได้รับการยืดดึง และด้วยหลักการง่ายๆ ดังกล่าวจึงเกิดคำถามว่า อวัยวะนี้สามารถทำหน้าที่อันหลากหลายตั้งแต่การได้ยินไปจนถึงการยืดดึงระดับเซลล์ได้อย่างไร” ดร.อติเทพ กล่าว
สำหรับโครงการวิจัยที่มาทำการทดลองที่สถาบันวิจัยแสงซินโครตรอนนั้น ทีมวิจัยต้องการศึกษาว่าตั๊กแตนสามารถรับรู้องศาการงอพับขาได้อย่างไร โดยก่อนหน้านี้มีการศึกษาพบว่าอวัยวะ FeCO ที่ตั๊กแตนใช้ในการรับรู้การงอพับขานั้นจะมีรูปแบบสัญญาณประสาทไฟฟ้าที่แตกต่างกันเมื่อขาถูกกางออกหรือถูกพับงอ ทีมวิจัยจึงพยายามหาความสัมพันธ์ระหว่างมุมพับงอของข้อขาตั๊กแตนสัญญาณประสาทไฟฟ้า และปัจจัยเชิงกลโดยเฉพาะแรงที่กระทำต่ออวัยวะ FeCO ระหว่างมีการงอพับข้อขา
”เป้าหมายหลักส่วนแรกคือการสร้างแบบจำลองสามมิติของ FeCO เพื่อศึกษาการกระจายตัวของเซลล์ประสาทและระยางค์นำสัญญาณประสาทในสามมิติ เนื่องจากเราต้องการเข้าใจว่าเซลล์ประสาทต่างๆ ภายใน FeCO มีการรวมกลุ่มกันอย่างไร ระยางค์นำสัญญาณประสาทมีการยึดโยงกับตำแหน่งต่างๆ ภายในขาอย่างไร และการงอพับข้อขาของตั๊กแตนนำไปสู่การยืดหดของอวัยวะนี้อย่างไร และส่วนที่สองคือการนำโครงสร้างสามมิติไปสร้างแบบจำลองเชิงกล ด้วยเทคนิค Finite Element Modelling (FEM) โดยเรามีสมมติฐานว่าเมื่อตั๊กแตนงอขาในมุมต่างๆ อวัยวะ FeCO จะมีรูปแบบการยืดหดที่แตกต่างกันและจะส่งผลให้มีรูปแบบของแรงที่กระทำในระดับอวัยวะ และเซลล์มีความแตกต่างกัน จนนำไปสู่การกระตุ้นกลุ่มของเซลล์ประสาทที่แตกต่างกันไปด้วย” ดร.อติเทพ อธิบายถึงเป้าหมายในการศึกษาข้อขาตั๊กแตนด้วยเทคนิคแสงซินโครตรอน
ทางด้าน ดร.เบนจามิน วอร์เรน (Benjamin Warren) นักวิจัยร่วมในโครงการจากมหาวิทยาลัยคีล (Keele University) สหราชอาณาจักร ซึ่งเป็นผู้เชี่ยวชาญด้านสรีรวิทยาการได้ยินของแมลง ได้ทดลองใช้แสงซินโครตรอนด้วยเทคนิคเอกซเรย์โทโมกราฟีเป็นครั้งแรกในการศึกษาการรับรู้เชิงกลภายในขาตั๊กแตนร่วมกับ ดร.อติเทพ กล่าวว่า “หากใช้เทคนิคอื่นจะไม่สามารถให้ข้อมูลที่ได้รายละเอียดสูงเหมือนเทคนิคที่ใช้แสงซินโครตรอนนี้ และใช้เวลาวัดตัวอย่างด้วยเวลาที่สั้นเพียง 6 นาที ก่อนหน้านี้ทีมของเราเคยใช้เทคนิค Focused ion beam scanning electron microscopy (FIB-SEM) ซึ่งมีความละเอียดสูงมากในระดับไม่กี่นาโนเมตร แต่วิธีหลังนี้ใช้ทรัพยากรค่อนข้างมาก และใช้เวลาในการเตรียมตัวอย่างนาน อีกทั้งตัวอย่างยังถูกทำลายระหว่างการสร้างภาพสามมิติด้วย”
จากการใช้บริการแสงซินโครตรอนในครั้งนี้ ดร.อติเทพ กล่าวว่า “ทีมวิจัยเชื่อว่าเทคนิคเอกซเรย์โทโมกราฟีของสถาบันวิจัยแสงซินโครตรอนและความเชี่ยวชาญของทีมงานระบบลำเลียงแสง 1.2W ของสถาบันฯ สามารถช่วยให้ทีมวิจัยบรรลุผลการวิจัยได้ และในขณะเดียวกันผมก็เห็นว่าเป็นโอกาสดีในการผลักดันให้เกิดจากประสานงานวิจัยทางประสาทวิทยาทั้งที่มาจากการร่วมมือกับทีมนักวิทยาศาสตร์นานาชาติและภายในประเทศไทยเข้ากับเทคโนโลยีซินโครตรอนมากขึ้น”
*หมายเหตุ* เทคนิคเอกซเรย์โทโมกราฟี (X-ray Tomography) เป็นเทคนิคในการใช้แสงซินโครตรอนย่านรังสีเอกซ์เพื่อถ่ายสามมิติของตัวอย่างที่ศึกษา และเห็นภาพตัวขวางของตัวอย่างโดยไม่ต้องตัดตัวอย่าง คล้ายการถ่ายภาพเอกซเรย์คอมพิวเตอร์ (CT Scan) ในโรงพยาบาล แต่เทคนิคเอกซเรย์โทโมกราฟีสามารถให้รายละเอียดในเชิงลึกได้มากกว่า และสามารถใช้ศึกษาโครงสร้างสามมิติระดับไมโครเมตรของตัวอย่างขนาดเล็ก เช่น การศึกษาเนื้อเยื่อ กระดูก วัสดุอุตสาหกรรม และวัสดุทางโบราณคดี เป็นต้น โดยไม่ต้องตัดหรือทำลายตัวอย่าง
